Somos uma clínica odontológica especializada em lentes de contato dentários e tratamentos com facetas de porcelana e resina. Esta página irá lhe ajudar a entender mais sobre este assunto para que você possa dar o próximo passo.






Facetas laminadas estéticas são procedimentos odontológicos destinados a recobrir os dentes para melhorar sua função e estética. Podem ser confeccionadas em resina fotopolimerizável ou em porcelana.
As facetas em resina fotopolímeromerizável são feitas diretamente sobre os dentes, no próprio consultório do dentista, sem a necessidade de moldagens e nem de desgastes significativos da estrutura dental. Já as facetas de porcelana exigem desgastes do esmalte dentário e moldagens que são enviadas aos laboratórios de prótese, onde são confeccionadas. Posteriormente são devolvidas ao dentista que as cimentará sobre os dentes do paciente.
Se ainda tem dúvidas sobre como rejuvenescer com o uso de facetas dentárias, leia os tópicos a seguir e dê o próximo passo.
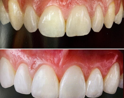
As facetas dentárias são lâminas finas de porcelana ou resina composta que são colocadas na parte frontal dos dentes para melhorar sua aparência estética. Elas são personalizadas para se ajustarem ao formato, cor e tamanho desejados.
As facetas dentárias podem corrigir uma série de imperfeições estéticas, como dentes desalinhados, manchados, desgastados, lascados ou com espaçamento irregular. Elas proporcionam um sorriso mais harmonioso e brilhante.
A durabilidade das facetas dentárias pode variar dependendo dos cuidados e manutenção adequados. Em geral, elas podem durar de 7 a 15 anos. No entanto, é importante evitar hábitos prejudiciais, como roer unhas ou morder objetos duros, para prolongar sua vida útil.
Normalmente, a colocação de facetas dentárias é um procedimento pouco invasivo e não causa dor significativa. É possível que haja um desconforto mínimo durante o preparo dos dentes e a fixação das facetas, mas a maioria dos pacientes relata uma experiência confortável.
Sim, em muitos casos, é necessário realizar um leve desgaste na estrutura dental para acomodar as facetas. Esse processo é feito de forma mínima e controlada para garantir um ajuste adequado e natural. Em alguns casos específicos, é possível utilizar facetas de contato mínimo ou lentes de contato dental, que exigem menos desgaste ou nenhum desgaste.
É importante manter uma boa higiene oral, escovando os dentes duas vezes ao dia, usando fio dental diariamente e realizando visitas regulares ao dentista. Evitar alimentos e bebidas pigmentadas, como café, chá e vinho tinto, também pode ajudar a manter as facetas com uma aparência mais duradoura.
As facetas dentárias são consideradas um tratamento irreversível, uma vez que envolvem o desgaste dos dentes naturais. No entanto, as facetas podem ser substituídas se necessário, embora isso possa exigir um novo procedimento de preparo dos dentes.
As facetas dentárias podem ser uma opção viável para a maioria das pessoas, mas é importante que haja uma avaliação e discussão com um dentista especializado. Em alguns casos, pode ser necessário considerar outros tratamentos, como clareamento dental, ortodontia ou restaurações dentárias.
As facetas de porcelana são feitas de material cerâmico resistente e são conhecidas por sua durabilidade e resistência a manchas. Já as facetas de resina são feitas de um compósito de resina composta e são mais econômicas. Elas são menos duráveis e tendem a manchar mais facilmente em comparação com as facetas de porcelana.
As facetas de porcelana oferecem uma aparência mais natural e translúcida, semelhante aos dentes naturais. Elas são altamente resistentes a manchas e têm uma vida útil mais longa quando comparadas às facetas de resina. Além disso, a porcelana é altamente resistente ao desgaste e proporciona uma estética duradoura.
As facetas de resina são uma opção mais acessível em termos de custo. Elas podem ser aplicadas em menos tempo, pois geralmente exigem menos preparação dentária. Além disso, a resina é mais flexível em termos de ajustes e reparos, pois pode ser facilmente moldada e corrigida.
As facetas de porcelana são conhecidas por sua durabilidade e podem durar de 10 a 15 anos ou até mais, com os devidos cuidados. Já as facetas de resina têm uma vida útil média de 5 a 10 anos, mas podem exigir reparos ou substituições mais frequentes devido ao desgaste e manchas.
Ambos os procedimentos de colocação das facetas de porcelana e resina seguem um processo semelhante. Envolve o preparo dos dentes, onde uma pequena quantidade de esmalte é removida, a obtenção de moldes dos dentes e a colocação temporária das facetas. Após a fabricação das facetas em laboratório, elas são fixadas permanentemente nos dentes usando um adesivo dental especial.
O custo das facetas dentárias pode variar dependendo de vários fatores, como o número de dentes a serem tratados, o material utilizado e a localização geográfica. É recomendado agendar uma consulta com um dentista especializado para obter uma avaliação personalizada e informações detalhadas sobre os custos envolvidos.
Agende uma avaliação
Não deixe que problemas dentários se acumulem! Agende agora a sua avaliação dental e descubra como podemos ajudá-lo a manter uma boa saúde bucal.

Outros Tratamentos
Relatos dos clientes
Atendimento
Que tal marcar uma consulta e cuidar da sua saúde bucal? Envie uma mensagem agora mesmo e agende seu atendimento.
Disponível de Seg. a Sex., das 8h00 às 18h00


Al. Iraé, 620, Cj 66 - Moema – São Paulo – SP (Próximo a Estação Moema do Metrô)

Especialidades
Fátima Faraco
POLÍTICA DE PRIVACIDADE: A Política de Privacidade foi elaborada em conformidade com a Lei Federal n. 12.965 de 23 de abril de 2014 (Marco Civil da Internet), com a Lei Federal n. 13.709, de 14 de agosto de 2018 (Lei de Proteção de Dados Pessoais) e com o Regulamento UE n. 2016/679 de 27 de abril de 2016 (Regulamento Geral Europeu de Proteção de Dados Pessoais – RGDP), pode ser lida na íntegra clicando aqui.
Copyright 2023 Consultoria Científica e Cursos Fatima Neves Faraco Schwed | Todos os direitos reservados
Criação e tráfego por kangoo.digital