TRATAMENTOS ESTÉTICOS
As restaurações estéticas trazem maior confiança na hora de se apresentar socialmente e melhoram a sua autoestima, principalmente no que diz respeito ao seu convívio social. Esta página irá lhe ajudar a entender mais sobre este assunto para que você possa dar o próximo passo.




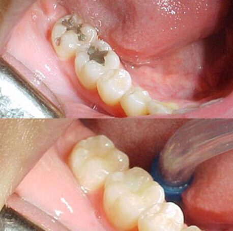
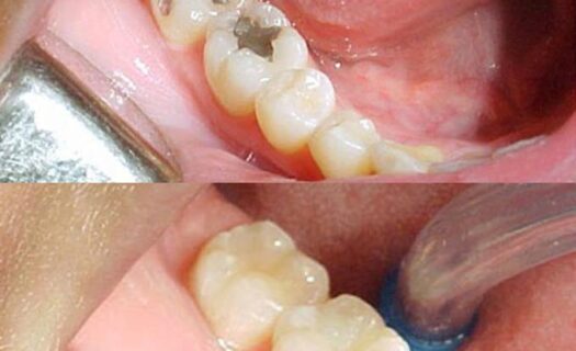
As restaurações dentárias estéticas são uma opção para corrigir imperfeições nos dentes, com objetivo de melhorar a aparência e a função dental. Elas podem ser feitas com diferentes materiais, como resina composta, porcelana e zircônia. A resina composta é o material mais comum para restaurações estéticas. É um material versátil que pode ser moldado diretamente na boca do paciente, oferecendo resultados de boa qualidade em casos de cáries pequenas, fraturas dentárias ou desgaste do esmalte. A resina composta também é mais barata em comparação com outros materiais de restauração.
Já as restaurações dentárias de porcelana e cerâmica são feitas em laboratório e coladas sobre o dente original por um dentista. São indicadas para casos mais complexos, onde há uma grande perda de tecido dental, ou quando há necessidade de melhorar a aparência geral do sorriso. Esse tipo de restauração possui alta durabilidade e resistência, além de oferecer uma aparência natural e brilhante aos dentes.
É importante destacar que a durabilidade e qualidade das restaurações dentárias estéticas dependem da manutenção adequada da higiene bucal, controle regular do dentista e evitar hábitos prejudiciais, como roer unhas ou morder objetos duros.
Em geral, as restaurações dentárias estéticas são uma boa opção para melhorar a aparência e a função dos dentes. O dentista irá avaliar o caso particular do paciente e recomendar o melhor material para o seu tratamento.
Agende uma avaliação
Não deixe que problemas dentários se acumulem! Agende agora a sua avaliação dental e descubra como podemos ajudá-lo a manter uma boa saúde bucal.

Se você tem dúvidas sobre como funciona as restaurações estéticas, leia os tópicos a seguir e dê o próximo passo.
Uma restauração estética é um procedimento odontológico que visa melhorar a aparência dos dentes, corrigindo imperfeições estéticas, como manchas, descolorações, dentes lascados, fraturados ou com formato irregular. Essas restaurações podem ser feitas com materiais como resina composta ou porcelana.
Os principais tipos de restaurações estéticas incluem a colocação de facetas de porcelana, restaurações com resina composta (placas ou "blocos") e coroas de porcelana.
As facetas de porcelana são lâminas finas feitas de porcelana que são colocadas na parte frontal dos dentes para melhorar sua aparência. Já as restaurações de resina composta são feitas de um material compósito de resina que é moldado e esculpido diretamente nos dentes. Ambos os materiais têm suas próprias características e benefícios.
O processo de colocação de uma restauração estética varia dependendo do tipo de restauração escolhida. Geralmente, envolve a preparação do dente, a moldagem ou escaneamento digital dos dentes, a fabricação personalizada da restauração em um laboratório ou no consultório e, por fim, a cimentação ou colagem da restauração no dente.
A durabilidade de uma restauração estética pode variar dependendo do tipo de material utilizado, dos cuidados de higiene bucal e dos hábitos do paciente. Em geral, as facetas de porcelana podem durar de 10 a 15 anos ou mais, enquanto as restaurações de resina composta podem ter uma vida útil de 5 a 10 anos.
As restaurações estéticas não são permanentes e podem precisar ser substituídas ao longo do tempo devido ao desgaste normal ou a alterações na cor ou forma dos dentes. É importante manter uma boa higiene bucal e realizar visitas regulares ao dentista para garantir a longevidade das restaurações.
A cobertura de restaurações estéticas pode variar de acordo com o plano de seguro odontológico individual. Alguns planos podem cobrir parcial ou totalmente os procedimentos, enquanto outros podem ter limitações ou exclusões específicas. É recomendado verificar a cobertura com seu plano de seguro odontológico antes de realizar o tratamento.
Alguns tipos de restaurações estéticas, como as facetas de porcelana, envolvem o desgaste do esmalte dental e são consideradas irreversíveis, ou seja, os dentes precisam ser preparados para receber a restauração. No entanto, restaurações de resina composta podem ser removidas ou substituídas.
Em geral, as restaurações estéticas podem ser feitas em diversos dentes, desde que haja uma análise cuidadosa da saúde bucal, da estrutura dos dentes e da estética desejada. O dentista avaliará cada caso individualmente para determinar a melhor abordagem e planejamento do tratamento.
Em alguns casos, especialmente logo após o procedimento, os dentes podem apresentar um aumento temporário da sensibilidade. No entanto, isso geralmente diminui com o tempo à medida que os dentes se ajustam às restaurações. Caso a sensibilidade persista ou seja intensa, é importante informar o dentista para que seja avaliada a necessidade de ajustes ou tratamento adicional.
Relatos dos clientes
Atendimento
Que tal marcar uma consulta e cuidar da sua saúde bucal? Envie uma mensagem agora mesmo e agende seu atendimento.
Disponível de Seg. a Sex., das 8h00 às 18h00

Outros Tratamentos

Al. Iraé, 620, Cj 66 - Moema – São Paulo – SP (Próximo a Estação Moema do Metrô)

Especialidades
Fátima Faraco
POLÍTICA DE PRIVACIDADE: A Política de Privacidade foi elaborada em conformidade com a Lei Federal n. 12.965 de 23 de abril de 2014 (Marco Civil da Internet), com a Lei Federal n. 13.709, de 14 de agosto de 2018 (Lei de Proteção de Dados Pessoais) e com o Regulamento UE n. 2016/679 de 27 de abril de 2016 (Regulamento Geral Europeu de Proteção de Dados Pessoais – RGDP), pode ser lida na íntegra clicando aqui.
Copyright 2023 Consultoria Científica e Cursos Fatima Neves Faraco Schwed | Todos os direitos reservados
Criação e tráfego por kangoo.digital